Martes, 28 de abril de 2026
su director general es Valentín Fuster.
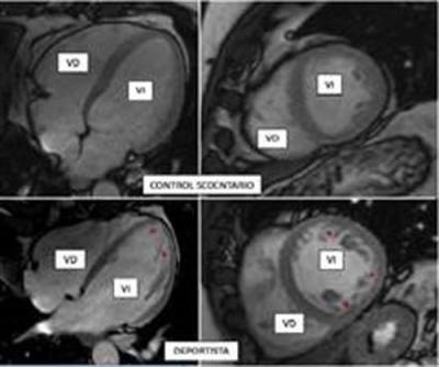
Investigadores españoles demuestran que el ejercicio intenso 'descompacta' el corazón, adoptando una forma esponjosa

Estos científicos han cuantificado este fenómeno en una población general (no profesionales del deporte), una información que tiene unas implicaciones prácticas muy importantes, puesto que "el sobrediagnóstico de la miocardiopatía no compactada -la patología maligna- en los deportistas (de élite o amateurs) puede llevar a la decisión de recomendar la interrupción de la actividad física en algunos casos en los que no sería necesario", explica su director general, Valentín Fuster.
La práctica de ejercicio, intenso o moderado, es una de las recomendaciones de salud aceptadas por todos los expertos. Sin embargo, el entrenamiento de alta intensidad puede desencadenar una serie de cambios fisiológicos en el organismo, incluyendo el corazón. Por ejemplo, se sabe que los deportistas presentan una adaptación de su corazón al entrenamiento que, entre otros fenómenos, puede incluir un aumento de las trabéculas en su interior ("hipertrabeculación"), que es benigna pero que puede confundirse con una patología genética hereditaria, la miocardiopatía no compactada, que puede causar muerte súbita.
Este nuevo estudio, publicado en la revista 'The Journal of American College of Cardiology', forma parte del proyecto colaborativo 'PESA-CNIC-SANTANDER', cuyo investigador principal es el doctor Valentín Fuster, que se inició en 2010 y que recientemente se ha renovado hasta 2030, y que constituye uno de los estudios de prevención cardiovascular más importantes del mundo. El grupo de 700 sujetos incluidos en el trabajo seguirá siendo evaluado durante este periodo, lo que permitirá estudiar en detalle y comprender la evolución, reversibilidad e implicación clínica de esta adaptación del corazón al ejercicio intenso.
"Resulta crítico poder distinguir este acomodo benigno al ejercicio de la miocardiopatía no compactada, una enfermedad del corazón de componente genético que puede asociarse a síntomas graves como insuficiencia cardíaca, trombo-embolias, arritmias y muerte súbita", destaca el jefe del Departamento de Investigación Clínica de CNIC, cardiólogo del Hospital Universitario Fundación Jiménez Díaz y líder de este trabajo, Borja Ibáñez.
En la miocardiopatía no compactada, las paredes del corazón se adelgazan y el músculo cardiaco, habitualmente compacto, se sustituye por una porción esponjosa (trabeculada), que se comunica directamente con el interior de los ventrículos.
El problema es que esta enfermedad se identifica, en muchos casos, en personas jóvenes asintomáticas antes de que aparezcan síntomas y, en esos casos, "una de las recomendaciones es interrumpir inmediatamente la actividad física ya que puede causar la muerte súbita", apunta este cardiólogo del CNIC. Sin embargo, la presencia de trabéculas no siempre va ligada a la miocardiopatía no compactada; así, asegura el doctor Ibáñez, "se ha observado que, ante diferentes condiciones fisiológicas, como el entrenamiento de alta intensidad o el embarazo, puede observarse un cambio en la morfología del corazón que es similar en estructura a la de la miocardiopatía no compactada".
Por ello, subraya el cardiólogo José de la Chica, primer autor del artículo, "es fundamental poder diferenciar entre la condición maligna y la adaptación fisiológica (benigna) para, por un lado, prevenir una mala evolución en el caso de la primera y, por otro, evitar que jóvenes sanos tengan que dejar de realizar deporte".
A pesar de que la asociación entre la hipertrabeculación y ejercicio físico de alta intensidad en deportistas de élite ya se había sugerido, hasta ahora muy pocos estudios habían utilizado la resonancia magnética cardiaca (técnica diagnóstica de referencia para estudiar la anatomía y función del corazón) y métodos objetivos para evaluar la actividad física. Además, tampoco existían datos suficientes sobre si dicha relación podría producirse también entre la población general o en deportistas aficionados, indica la doctora Inés García-Lunar, cardióloga participante en este estudio.
El trabajo ha evaluado mediante resonancia magnética cardiaca la presencia de criterios reconocidos de miocardiopatía no compactada en más de 700 participantes del estudio 'PESA-CNIC-SANTANDER', trabajadores sanos del Banco de Santander que realizan diferentes grados de actividad física, pero que no practican deporte de forma profesional.
La actividad física se evaluó de forma objetiva mediante el uso de acelerómetros, dispositivos que miden los cambios en la velocidad del movimiento en varios ejes del cuerpo y que los participantes llevaron durante 1 semana en cada visita de seguimiento trianual del estudio. "Esta tecnología nos permite clasificar la actividad física que realiza un individuo en situación sedentaria, de ejercicio leve, moderado o vigoroso y saber cuántos minutos dedica a la semana a cada tipo de actividad", apunta De la Chica.
Lo primero que se observó es que el músculo cardiaco de los participantes, que de forma persistente realizaron una actividad física vigorosa a lo largo de este periodo de tiempo, se adaptaba al ejercicio aumentando su volumen y su masa muscular. "Estos cambios son conocidos como 'corazón de atleta', y se consideran fisiológicos", explica García-Lunar.
Un hallazgo más novedoso fue que una tercera parte de los individuos (hombres y mujeres) con un nivel elevado de actividad física vigorosa habitual cumplía además los criterios diagnósticos de miocardiopatía no compactada, pero, obviamente, no estaban enfermos.
Estudios previos habían sugerido que la hipertrabeculación podría ser simplemente un fenómeno secundario a la dilatación del corazón que aparece durante el entrenamiento intenso. "Gracias a los datos del PESA-CNIC-SANTANDER, hemos observado por primera vez que se trata de fenómenos independientes", argumenta De la Chica.
Es importante recalcar también que los participantes con este tipo de corazones trabeculados no presentaban síntomas y que los resultados del resto de pruebas llevadas a cabo en el estudio se encontraban dentro de la normalidad.
El trabajo concluye que los criterios de resonancia magnética para diagnosticar la miocardiopatía no compactada no deberían ser evaluados de forma aislada sino puestos en el contexto de otros parámetros clínicos, pruebas genéticas y el nivel de ejercicio físico, incluso en una población no atlética para evitar los falsos diagnósticos de esta enfermedad maligna. Un diagnóstico equivocado podría conllevar que la persona tenga que dejar de realizar ejercicio con las consecuencias deletéreas físicas y psicológicas que ello conlleva.
Columnistas
La eutanasia de Noelia Castillo
Y así, en el caso concreto de Noelia, ¿Qué protección encontró en la Administración Pública que, tras privar de la patria potestad a sus padres, ¿la internaron en un centro de acogida donde fue violada? ¿Qué actuación ha habido de los responsables del mismo?
Por José Luis LafuenteLeer columna
Ballenas, bacterias y la emergencia de la vida
Una orca nadaba con un tiburón blanco juvenil con una herida visible en aguas de Baja California, México.Credit...Marco Villegas
Por Francisco Javier Garcia AlonsoLeer columna
El aborto es la mayor causa de muerte con gran diferencia: Llevamos más de 25 millones de abortos este año
Hay cosas que suceden todos los días y, por ello, no son noticia, pero deberían serlo. Hoy se acabará con la vida de unos doscientos mil niños no nacidos, con el beneplácito de gobiernos, parlamentos, médicos e incluso de sus padres. https://www.infocatolica.com/?t=noticia&cod=52974
Por Teodoreto de Samos Leer columna
Homo Sapiens, Neandertales y Denisovanos
Los Homo sapiens, Neandertales y Denisovanos son tres grupos humanos que coexistieron en distintos momentos del pasado y que jugaron un papel clave en la evolución de nuestra especie.
Por Francisco Javier Garcia AlonsoLeer columna
León XIV oficia Misa ad orientem en la capilla de los Carabineros
El Papa León XIV celebra la misa de spaldas al Pueblo de Dios, rito tridentino
Por Teodoreto de Samos Leer columna
El primer boomerang no es de Australia sino de Polonia
Comenzamos una serie sobre curiosidades del mundo de la ciencia
Por Francisco Javier Garcia AlonsoLeer columna
Noticias y comentarios
Reconoce que ha proclamado y custodiado el Evangelio. León XIV felicita al cardenal Burke por sus 50 años de sacerdocio
Por Teodoreto de Samos Leer columna
Noticias y comentarios en la Iglesia.
Comenzamos una columna semanal sobre noticias y comentarios sobre la iglesia
Por Teodoreto de Samos Leer columna
¿Milei o Vance?
Vance es un peso pesado intelectual, un político-filósofo. Entre sus influencias están la doctrina social de la Iglesia, el pensamiento de René Girard y las ideas de teóricos postliberales como Sohrab Ahmari o Patrick Deneen Publicado en el Debate
Por Francisco J Contreras Leer columna
Algunos problemas en el horizonte de la política verde actual
La subida global de temperaturas y la conveniencia de ir sustituyendo las fuentes de energía tradicionales (gas, petróleo y carbón) por otras más sostenibles es un tema de permanente actualidad tanto en los medios de comunicación como en la política. Frente a la versión aplastantemente mayoritaria del problema y sus soluciones, el ciudadano atento y bien informando acaba descubriendo algunos problemas a los que no se les presta demasiada atención. En este artículo se presentarán algunos de ellos
Por Francisco Javier Garcia AlonsoLeer columna
El tráfico con inmigrantes y el avance de las nuevas derechas europeas
La propuesta que más influyó para atraer el voto de muchos europeos hacia las nuevas derechas es el rechazo a las políticas que facilitan la inmigración incontrolada, pues están convencidos de que aumenta la delincuencia y favorece la islamización de Europa
Por Angel Jiménez LacaveLeer columna