Martes, 28 de abril de 2026

Columnistas

La eutanasia de Noelia Castillo

Y así, en el caso concreto de Noelia, ¿Qué protección encontró en la Administración Pública que, tras privar de la patria potestad a sus padres, ¿la internaron en un centro de acogida donde fue violada? ¿Qué actuación ha habido de los responsables del mismo? 

Por José Luis LafuenteLeer columna

Ballenas,  bacterias y la emergencia de la vida

Una orca nadaba con un tiburón blanco juvenil con una herida visible en aguas de Baja California, México.Credit...Marco Villegas

Por Francisco Javier Garcia AlonsoLeer columna

El aborto es la mayor causa de muerte con gran diferencia: Llevamos más de 25 millones de abortos este año

  Hay cosas que suceden todos los días y, por ello, no son noticia, pero deberían serlo. Hoy se acabará con la vida de unos doscientos mil niños no nacidos, con el beneplácito de gobiernos, parlamentos, médicos e incluso de sus padres. https://www.infocatolica.com/?t=noticia&cod=52974 

Por Teodoreto de Samos Leer columna

Homo Sapiens, Neandertales y Denisovanos

Los Homo sapiens, Neandertales y Denisovanos son tres grupos humanos que coexistieron en distintos momentos del pasado y que jugaron un papel clave en la evolución de nuestra especie.

Por Francisco Javier Garcia AlonsoLeer columna

León XIV oficia Misa ad orientem en la capilla de los Carabineros

El Papa León XIV celebra la misa de spaldas al Pueblo de Dios, rito tridentino

Por Teodoreto de Samos Leer columna

El primer boomerang no es de Australia sino de Polonia

Comenzamos una serie sobre curiosidades del mundo de la ciencia

Por Francisco Javier Garcia AlonsoLeer columna

Noticias y comentarios

Reconoce que ha proclamado y custodiado el Evangelio. León XIV felicita al cardenal Burke por sus 50 años de sacerdocio

Por Teodoreto de Samos Leer columna

Noticias y comentarios en la Iglesia. 

Comenzamos una columna semanal sobre noticias y comentarios sobre la iglesia

Por Teodoreto de Samos Leer columna

¿Milei o Vance?

Vance es un peso pesado intelectual, un político-filósofo. Entre sus influencias están la doctrina social de la Iglesia, el pensamiento de René Girard y las ideas de teóricos postliberales como Sohrab Ahmari o Patrick Deneen Publicado en el Debate

Por Francisco J Contreras Leer columna

Algunos problemas en el horizonte de la política verde actual

La subida global de temperaturas y la conveniencia de ir sustituyendo las fuentes de energía tradicionales (gas, petróleo y carbón) por otras más sostenibles es un tema de permanente actualidad tanto en los medios de comunicación como en la política. Frente a la versión aplastantemente mayoritaria del problema y sus soluciones, el ciudadano atento y bien informando acaba descubriendo algunos problemas a los que no se les presta demasiada atención. En este artículo se presentarán algunos de ellos

Por Francisco Javier Garcia AlonsoLeer columna

El tráfico con inmigrantes y el avance de las nuevas derechas europeas

La propuesta que más influyó para atraer el voto de muchos europeos hacia las nuevas derechas es el rechazo a las políticas que facilitan la inmigración incontrolada, pues están convencidos de que aumenta la delincuencia y favorece la islamización de Europa

Por Angel Jiménez LacaveLeer columna

Encuesta
¿Logrará la ciudadanía frenar la ley de amnistía?

a) no, el gobierno lo tiene todo "bien atado"
b) sí, la fuerza del pueblo es imparable

las autoridades danesas han encontrado 12 personas infectadas con el virus procedente de los visones

Dinamarca matará a todos sus visones tras hallar una mutación del coronavirus que puede infectar a humanos

El Gobierno de Dinamarca ha decidido este miércoles matar a todos los visones del país, después de encontrar una mutación del coronavirus que puede transmitirse a humanos y puede influir negativamente en el desarrollo de una vacuna contra la enfermedad.

0 comentarios

publicado en la revista 'Archiv EuroMedica'

Un estudio sugiere que el coronavirus podría atacar a la médula roja y bloquear la formación de eritrocitos

Especialistas Universidad Federal del Extremo Oriente (Rusia), junto a investigadores japoneses, ha observado en un estudio, publicado en la revista 'Archiv EuroMedica', que el coronavirus podría atacar a la médula roja y bloquear la formación de eritrocitos.

0 comentarios

ANPE pide a las CC.AA. que eviten que se pueda titular con materias suspensas

El Congreso convalida decreto-ley que permite a alumnos promocionar con suspensos y a contratar docentes sin máster

El Gobierno ha conseguido sacar adelante en el Congreso el Real-Decreto-ley por el que se adoptan medidas urgentes en el ámbito de la educación no universitaria, con 187 votos a favor.

0 comentarios

según un estudio

España es el país europeo con mayor exceso de muertes durante la primera ola de la pandemia

España es el país europeo con mayor exceso de muertes durante la primera ola de la pandemia, según un estudio liderado por investigadores del Imperial College en Londres (Reino Unido), que destaca que entre febrero y mayo en el país se produjo un incremento del 38 por ciento de la mortalidad.

0 comentarios

su implantación puede combinarse con otras cirugías, de catarata o de vítreo-retina"

Instituto Oftalmológico Fernández-Vega desarrolla la primera prótesis corneal que se implanta sin trasplante

El Instituto Oftalmológico Fernández-Vega ha desarrollado la primera prótesis que se implanta sin necesidad de trasplantar todas las capas de la córnea (epitelio, estroma y endotelio), evitando así la perforación del globo ocular.

0 comentarios

esta misma pandemia "no puede servir como coartada para desmantelar un sistema que tantas veces ha sido elogiado"

Los sindicatos médicos convocan el próximo 27 de octubre una huelga indefinida en toda España

El Comité Ejecutivo de la Confederación Estatal de Sindicatos médicos (CESM) ha aprobado en su reunión de este miércoles convocar una huelga nacional indefinida que comenzará el próximo 27 de octubre, y que tendrá lugar el último martes de cada mes que no sea festivo.

0 comentarios

ha señalado  el jefe de operaciones de emergencia de la OMS, Mike Ryan

La OMS estima que hasta el 10 por ciento de la población mundial ha sido infectada ya de la Covid-19

La Organización Mundial de la Salud (OMS) estima que aproximadamente el 10% de la población mundial puede haber sido infectada por la covid-19, un porcentaje mucho mayor de los 35 millones que habrían sido reportados has el momento.

0 comentarios

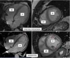
su director general es Valentín Fuster.

Investigadores españoles demuestran que el ejercicio intenso 'descompacta' el corazón, adoptando una forma esponjosa

Investigadores del Centro Nacional de Investigaciones Cardiovasculares (CNIC) han demostrado que el ejercicio físico vigoroso se asocia a una "descompactación" del corazón, que adopta una morfología esponjosa.

0 comentarios

Un total de 55 sociedades científicas nacionales, que representan a más de 170.000 profesionales sanitarios, han publicado un documento dirigido a los políticos

Los científicos a los políticos: "En salud, ustedes mandan, pero no saben"

Un total de 55 sociedades científicas exigen a los políticos frenar "tanta discusión" y seguir "criterios científicos claros, comunes y transparentes"

0 comentarios

estudio, publicado en la revista 'mBio'

Un estudio apunta que la inmunidad contra el COVID-19 podría durar incluso toda la vida

Los resfriados estacionales no son divertidos, pero nuevas investigaciones sugieren que los resfriados que se han superado en el pasado pueden proporcionar alguna protección contra el COVID-19

0 comentarios


Páginas 

 << Primera   < Anterior   8   9   10   11   12   13   14   15   16   17   18   Siguiente >   Última >> 

Dignidad Digital, S.L. E-mail: redaccion@dignidaddigital.com
logo